La neuroimagerie en 6 questions - Partie 3
4. Qu’est-ce que je vois sur l’image que je reçois?
Plans de coupe
On retrouve trois plans de coupe utilisés dans les images en IRM structurelle, soit les plans axial (transversal) coronal et sagittal. Ce sont différentes façons de sectionner le cerveau qui nous permettent d’observer des structures spécifiques. Le plan axial correspond à un découpage du cerveau du bas vers le haut. Le plan coronal fait référence à des coupes de l’arrière vers l’avant du cerveau. Finalement, le plan sagittal est une façon de diviser le cerveau de la gauche vers la droite.
Image pondérée en T1
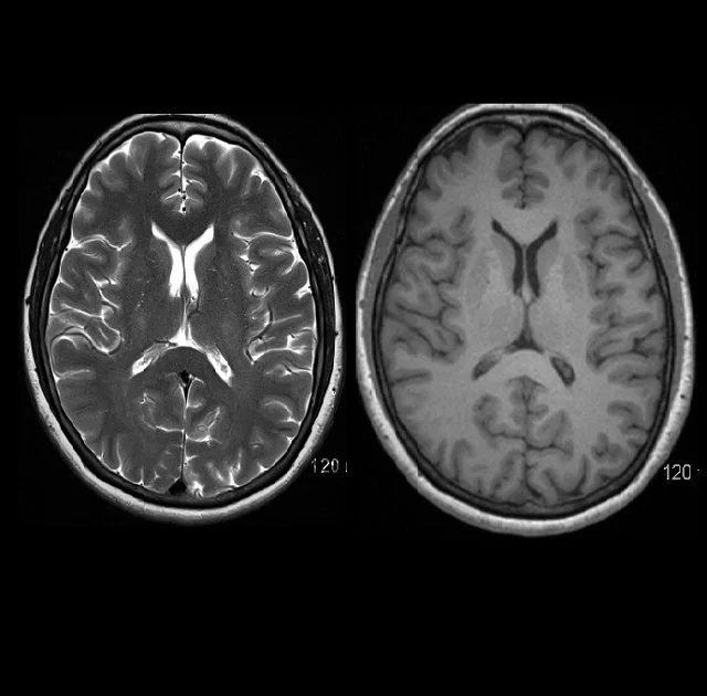
Image T2 (à gauche) et T1 (à droite)
Les images en IRM structurelle sont générées grâce aux propriétés magnétiques qui varient selon les tissus biologiques du cerveau lorsque l’aimant de l’IRM est activé. Il est possible d’obtenir deux types d’images, soit avec un contraste T1 ou T2. Ces paramètres font référence à des dynamiques différentes des protons d’hydrogène des tissus du cerveau. En bref, on peut observer des images dites pondérées en T1, et pondérées en T2. Elles peuvent ressembler à une image inversée l’une de l’autre, mais des distinctions importantes peuvent être faites entre elles. C’est pourquoi on dit plutôt qu’elles sont complémentaires.
Identification des structures
Les tissus les plus facilement identifiables sur les images IRM pondérées en T1 sont les ventricules, la matière blanche et la matière grise. Les ventricules, en noir, sont des cavités contenant le liquide cérébrospinal, qui circule également dans les méninges. La matière blanche est constituée des axones des neurones et des connexions entre ceux-ci, et est représentée en gris pâle. En gris foncé, on retrouve la matière grise, qui comprend les corps cellulaires des neurones.
Pilot MRI Data from the Douglas Research Centre
Pilot MRI Data from the Douglas Research Centre
Pilot MRI Data from the Douglas Research Centre
Pour en savoir plus
5. Pourquoi utiliser l’IRM au lieu d’autres techniques d’imagerie?
Résolution spatiale et temporelle
Les techniques de neuroimagerie présentent toutes un compromis entre la résolution spatiale et la résolution temporelle. Par exemple, l’imagerie par résonance magnétique structurelle, ayant été brièvement abordée dans la première partie de cette série d’articles, fait partie des techniques de neuroimagerie avec une bonne résolution spatiale, mais une moins bonne résolution temporelle. Cela signifie que la qualité des images de l’IRM structurelle est excellente, et que l’on peut observer les structures du cerveau avec beaucoup de détails (environ 1 mm³), mais que l’on peut capturer des changements qui ne sont que très lents à survenir (à raison d’heures, allant jusqu’à des années). À titre de comparaison, l’imagerie par résonance magnétique fonctionnelle présente une résolution spatiale plus grossière, où le plus petit élément pouvant être distingué sur l’image est environ 30 fois plus gros que celui de l’IRM structurelle, mais permet de déceler des changements de l’ordre de la seconde.
(Image generated by ChatGPT – DALL·E (OpenAI), 2025.)
Avantages et inconvénients
Chaque technique comporte des avantages et des inconvénients : l’une n’est pas meilleure que l’autre, elles sont plutôt complémentaires. La neuroimagerie multimodale, soit le fait de combiner les données issues de différents types de techniques, permet ainsi de réunir les forces de chaque modalité. L’activité cérébrale récoltée par l’IRM fonctionnelle peut donc être superposée aux images de meilleure qualité produites par l’IRM structurelle afin de pouvoir localiser de façon plus précise la source de l’activation.
D’autres facteurs doivent être considérés en choisissant une méthode de neuroimagerie, tels que le caractère invasif de celle-ci, le type de tâche effectué durant l’acquisition, la population étudiée, etc. Par exemple, la tomographie par émission de positrons est utile pour réaliser des images du cerveau afin étudier des neurotransmetteurs spécifiques comme la sérotonine, mais implique l’injection d’un produit radioactif. L’imagerie optique permet quant à elle de s’adapter à des conditions expérimentales qui demandent de bouger, ou d’être utilisée avec des enfants qui ont la bougeotte1 !

